Introduction
L’alcool frelaté fait régulièrement des victimes accidentelles dans nos pays en voie de développement où l’alcool bon marché, malgré les interdictions officielles, circule abondamment. Il s’agit d’un problème endémique. Des cas épidémiques qui engendrent des catastrophes, surtout à l’occasion de rencontres festives surviennent assez souvent et font la une de la presse des faits divers
En cause, il s’agit du méthanol contenu à des concentrations diverses dans ces boissons. Le contexte et la fréquence des ces intoxications paraissent sensiblement différents dans les pays industrialisés où ces intoxications semblent beaucoup plus rares [1,2].En effet dans les pays industrialisés, il s’agit le plus souvent d’intoxications volontaires où sont fréquemment en cause des préparations industrielles destinées à des usages domestiques et qui contiennent du méthanol à des taux élevés [3] : antigels, alcool à brûler, nettoyants, etc.
Le mécanisme unanimement invoqué indexe le rôle toxique des formates issus du métabolisme hépatique du méthanol [4,5], avec comme étape essentielle la transformation du méthanol en formaldehyde par l’alcool deshydrogenase (ADH). Ensuite, le formaldéhyde aboutit à l’acide formique grâce à l’action de l’aldéhyde déshydrogénase. La dose toxique se situerait à un minimum de 20 à 30 ml de méthanol ingéré ou 1ml/kg [5]. La morbidité et la mortalité engendrées restent élevées, de 10 à 30% [1], malgré des progrès dans la prise en charge, liés à l’avènement du Fomepizole, qui est l’antidote le plus efficace actuellement est un puissant inhibiteur de l’ADH [6,2].
Cette agressivité du formate est à la fois systémique et surtout, dirigée contre le système nerveux central et les voies oculaires [4,5] dont des stigmates radiologiques peuvent être révélateurs [7,8].
C’est un cas typique d’atteintes neurologiques révélés au TDM cérébral chez un sujet de 38 ans, vu au quatrième jour d’une intoxication au méthanol par ingestion d’alcool frelaté que nous rapportons ici ; dans le but d’illustrer et de montrer l’intérêt de ces constatations radiologiques dans la confrontation diagnostique lors des intoxications aiguës au méthanol.
Observation
Il s’agit d’un patient de 38 ans, de sexe masculin, admis aux urgences médicales du CHU de Yopougon, le 04 Janvier 2012 pour coma non fébrile.
L’histoire de la maladie situe le début des troubles au lendemain des fêtes de fin d’année c’est-à-dire le 02 Janvier 2012, après une soirée arrosée d’alcool, entre amis.
L’épouse précise toutefois qu’avant de rejoindre ses amis en fin de matinée du 01 Jnavier 2012, le patient aurait ingéré seul à domicile, un peu plus d’un verre d’une bouteille de liqueur qu’il aurait acheté la veille des fêtes. L’alcool consommé est distillé localement et vendu dans le commerce.
Le patient a présenté d’abord des troubles digestifs, marqués surtout par des vomissements. Puis, progressivement se sont installés des troubles visuels de gravité croissante qui aboutissent à la cécité le 04 Janvier 2012, associée à des troubles de la conscience et à une agitation ; signes d’aggravation qui obligent la famille à le faire admettre à l’hôpital.
Les 3 amis avec lesquels il aurait passé l’après-midi et la soirée du 01 Janvier 2012 n’ont présenté aucun signe.
L’examen à l’admission montre un patient en bon état général, apyrétique avec de bonnes constantes hémodynamiques. L’examen neurologique retrouve un patient dans le coma, avec un score de Glasgow à 10, une mydriase bilatérale faiblement réactive, quelque peu agité, sans déficit sensitivomoteur. Les urines étaient foncées, peu abondantes.
Le bilan biologique à l’admission retrouve des perturbations hématologiques en faveur d’une hémoconcentration, ainsi qu’une altération de la fonction rénale et une perturbation des tests hépatiques (Tableau 1)

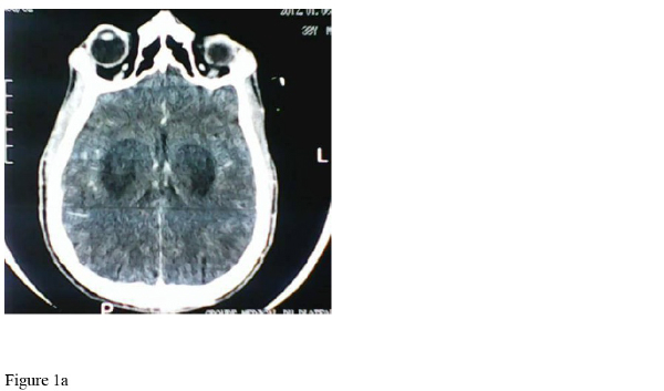
La Tomodensitométrie (TDM) cérébrale sans injection de produit contraste, met en évidence : deshypodensités bilatérales compatible avec une nécrose putaminale associées à de discrètes plages hypodenses frontalesbilatérales.


Hypodensités bilatérales putaminales (flèchespleines : 1a) associées à de discrètes plages hypodenses frontales bilatérales (flèches pointillées : 1b).
Le traitement a comporté essentiellement : une rehydratation avec des cristalloides, un reéquilibrage électrolytique, une supplémentation en vitamines B1, B6, B12.
L’évolution est marquée par une bonne rehydratation, une normalisation de la fonction rénale et une amèlioration lente des tests hépatiques.
Le patient est pris en charge par le service de neurolgie à partir de J10 où l’on notait la persistance de la cecité, sans amélioration et le fond d’oeil objectivait : une paleur temporale gauche et une excavation papillaire. Les troubles de la conscience persistaient à type d’obnubilation avec des agitations par moments et des signes de rigidité.
Discussion
Nous remarquons chez notre patient que les signes débutent environ 24 heures après la prise d’alcool, mais le délai d’admission à l’hôpital est plus tardif ; à plus de 72 heures du début des signes.Ceux-ci sont marqués par des troubles digestifs inauguraux, puis vont être dominés par les signes neurologiques avec des troubles visuels. Les anomalies biologiques reflètent surtout les perturbations de la volémie : une déshydratation avec hémoconcentration matérialisée par les altérations caractéristiques de l’hémogramme (hématocrite à 66,5%) et les perturbations fonctionnelles des reins, rapidement corrigées après la réhydratation. Cette déshydratation pourrait être rattachée aux vomissements, à la restriction hydrique circonstancielle et l’overdose d’alcool.
Ces signes en eux-même, ainsi que dans leur marche d’installation, évoquent les signes cliniques classiques d’intoxication au méthanol qui comportent : les troubles digestifs, tels que les douleurs abdominales et les vomissements ; les signes neurologiques tels que les troubles de la vigilance pouvant aller jusqu’au coma ; des troubles visuels pouvant aller jusqu’à la cécité ; des manifestations de désordres acidobasiques [4,5].
Quant à l’origine du toxique chez notre patient, nous pourrions mettre en cause la première prise d’alcool que celui-ci aurait eu seul à domicile, le matin du premier Janvier 2012, avant de se retrouver en compagnie de ses amis avec qui il a continué la fête. Ce qui pourrait expliquer que ces derniers soient indemnes.
Les délais habituels entre l’ingestion de l’alcool et le début de manifestation des signes d’intoxication au méthanol qui sont rapportés vont de 6 à 48 heures, moins fréquemment à 72 heures. Mais la prise conjointe et conséquente d’alccol éthylique est susceptible de prolonger ce délais de latence et de retarder la manifestation de ces signes [9]. Le danger de ce retard à la manifestation des symptômes caractéristiques est de retarder le diagnostic, mais surtout de laisser s’accumuler les métabolites toxiques qui par leur nocivité expose le patient aux complications neurologiques et visuelles au moment du diagnostic tardif. Cette éventualité pourrait être le cas de notre patient, vu sa présentation assez tardive à l’hôpital et vu l’absence de certains signes fondamentaux, entre autres l’acidose métabolique dont les manifestations cliniques ont manqué au moment de sa prise en charge et qui auraient pu amener l’entourage à faire admettre le patient plus tôt à l’hôpital.
Outre les signes cliniques classiques qui permettent d’évoquer le diagnostic d’intoxication au méthanol, celui-ci n’a sa confirmation que par la mise en évidence du méthanol ou de ses métabolites dans le sang. L’importance du dosage de l’alcool et de ses métabolites se situe aussi dans la mise en oeuvre et le suivi de la prise en charge [2]. De sorte qu’un taux de méthanol sérique de plus de 50 mg /dl rend compte d’une intoxication grave. Mais ce seul critère ne parait pas suffisant ni pertinent pour beaucoup d’auteurs pour qui l’effet toxique ne serait pas lié au méthanol en lui-même, mais plutôt à ses métabolites et par ailleurs, la valeur de ce taux dépendrait du moment du prélèvement par rapport à celui de l’intoxication [1,2,5]. D’où le recours en plus à d’autres critères qui sont directement en rapport avec la toxicocinétique du méthanol pour établir la gravité de l’intoxication et surtout recommander la mise en dialyse. Il s’agit : de la sévérité de l’acidose (PH< 7,10 ou trou anionique > 30mmol/l ou un taux de bicarbonate sanguin < 5mmol/l), la présence de troubles visuels, l’altération de la fonction rénale avec une insuffisance rénale aiguë [10,6].
Le traitement classique de l’intoxication au méthanol associe l’administration d’un tampon (le bicarbonate), d’un antidote (historiquement l’éthanol) et l’hémodialyse.. L’avènement du FOMEPIZOLE (4-Methyl Pyrazole) laisse entrevoir un changement dans la prise en charge et le pronostic des patients intoxiqués par le méthanol en particulier sur les atteintes oculaires [11]. En effet, le FOMEPIZOLE présente une plus grande affinité pour l’ADH (500 à 1000 fois supérieur à l’ethanol) et bloque efficacement le métabolisme du méthanol par l’ADH. Il a été utilisé efficacement dans bon nombre d’intoxications aiguës au méthanol avec une très bonne tolérance, prenant alors un avantage sur l’éthanol dont il est dépourvu des effets secondaires. Ainsi administré seul et précocement au cours de l’intoxication aiguë au méthanol, il pourrait permettre d’éviter les complications neurologiques liées aux métabolites du méthanol et même d’éviter le recours à l’hémodialyse [10,12]. Il est recommandé de maintenir le traitement, jusqu’à ce que le taux de méthanol dans le sang descende en dessous de 20mg/dl.
Dans nos conditions de travail en Côte d’Ivoire, le dosage de la méthanolémie est illusoire. Même dans les pays développés, ce dosage en routine peut quelques fois rencontrer des difficultés à être réalisé en urgence.
Dans les cas épidémiques, le diagnostic clinique parait aisé, mais dans des cas isolés comme celui de notre patient, le diagnostic peut ne pas être évident, et ce d’autant plus que le patient est vu à distance de l’épisode toxique. Alors le diagnostic peut se faire au stade de complications.
Dans un tel contexte, l’imagerie peut apporter des arguments de valeur car les stigmates neurologiques de l’intoxication au méthanol sont assez caractéristiques et il convient de bien les connaître.
La tomodensitométrie (TDM) cérébrale a été demandée chez notre patient dans le cadre des désordres neurologiques prédominants et persistants (coma, agitations, cécité ...). Cette TDM a révélé : des hypodensités bilatérales compatibles avec une nécrose putaminale associée à de discrètes plages hypodenses frontales bilatérales, très caractéristiques d’une intoxication au méthanol.
Les lésions en neuroimagerie en rapport avec l’intoxication au méthanol ont été abondamment décrites et documentées [8]. Ces lésions sont les conséquences de l’agressivité du formate, métabolite du méthanol vis-à-vis du tissu nerveux. L’acide formique inhiberait le cytochrome oxydase de la chaîne respiratoire mitochondriale, induisant alors des lésions cytotoxiques d’origine hypoxique. Celles-ci prédomineraient au niveau de certaines régions vulnérables du cerveau : il s’agit des noyaux gris centraux, des voies optiques et certaines régions périphériques, sous corticales de la substance blanche. Leur répartition bilatérale, voire symétrique est fortement évocatrice [13,14].
S.Taheri et al [15] ont publié en 2010, une étude de cohorte ayant enrôlé 42 patients consécutifs victimes d’une intoxication aiguë au méthanol. Cette étude avait pour but de déterminer les anomalies retrouvées dans un tel contexte à la TDM cérébrale sans injection de produit de contraste et d’en évaluer leur signification pronostique. 28 (66,6%) patients présentaient des anomalies à la TDM cérébrale, pour un total de 55 anomalies TDM retrouvées. Chez 27 de ces patients, soit 96,4%, l’atteinte nécrotique putaminale bilatérale sous forme de lésions hypodenses à la TDM cérébrale était la forme la plus commune des manifestations. L’incidence des lésions hémorragiques était de 16,4%, un peu plus que les 13,5% dans la littérature. Le caractère hémorragique des lésions semble assombrir le pronostic.
L’atteinte nécrotique bilatérale du noyau lenticulaire plus ou moins associée à des atteintes nécrotiques de la substance blanche, surtout dans les couches périphériques sous corticales, sont la principale marque caractéristique en neuroimagérie de l’intoxication au méthanol. Ces atteintes peuvent toucher aussi le cervelet, l’hypothalamus. L’imagerie par résonance magnétique (IRM) apporte des constatations superposables à celles du TDM, s’agissant de la nature et de la localisation des lésions mais offre un avantage sur la TDM quant à la taille et la précocité de la mise en évidence des lésions [16,17]. Pour beaucoup d’auteurs, la TDM cérébrale peut apparaître normal à la phase précoce de l’intoxication, bien souvent un délai d’au moins 24 heures après la prise du méthanol parait nécessaire pour voir apparaître des lésions à la TDM cérébrale. Dans notre cas, la TDM cérébrale sans injection de produit de contraste a été réalisée au 6ème jour après la prise du toxique. Les lésions apparaissent très nettement caractéristiques. La signification pronostique de ces lésions – hors mis les lésions hémorragiques- est difficile à prédire. Même si elles signent une atteinte sévère, elles ne prédéterminent pas forcément une issue fatale ou défavorable. En effet dans la série de Taheri et al [15], 22 patients ayant eu des lésions à la TDM cérébrale ont pu recouvrer un état jugé satisfaisant et quitter l’hôpital. De même, Patankar et al [18], en 1999, dans une série de 4 intoxications au méthanol, signalaient 3 patients qui présentaient des anomalies caractéristiques à la TDM cérébrale, intéressant surtout les noyaux lenticulaires. Parmi eux, un décès est survenu, les deux autres ont recouvré un état de santé jugé satisfaisant et sans séquelle. Si l’atteinte bilatérale, voire symétrique des noyaux gris de la base du cerveau sont très caractéristiques de l’intoxication au méthanol, certaines affections métaboliques, toxiques ou dégénératives sont susceptibles de laisser des empreintes semblables au niveau des noyaux gris du cerveau [19]et il convient de ne pas les ignorer dans un contexte où l’imagerie prend une place centrale dans la démarche diagnostique : c’est le cas dans les intoxications au monoxyde de carbone, dans la maladie de Wilson, ou dans le maladie de Leigh.
Conclusion
Les intoxications à l’alcool frelaté sont endémiques dans nos contrées sous développées et posent un problème de santé publique. Elles occasionnent assez fréquemment des situations catastrophiques et dramatiques. Le méthanol qui est le toxique en cause dans ces cas peut causer des dégâts irréversibles au niveau du système nerveux. Le diagnostic clinique est aisé en général dans les situations aigues et dans les intoxications de masse. Mais dans des cas isolés ou passés inaperçus, le diagnostic peut ne pas être aisé. Les lésions en neuroimagérie bien connues et très caractéristiques dans les intoxications au méthanol, notamment l’atteinte nécrotique bilatérale du noyau lenticulaire plus ou moins associée à des atteintes nécrotiques de la substance blanche, peuvent fournir une clé d’entrée au diagnostic. D’où l’intérêt de les rappeler et de les illustrer chaque fois que possible, comme c’est le cas actuellement tiré de notre observation.
Références
1. Jeffrey A., Kraut and Ira Kurtz Toxic Alcohol Ingestions : Clinical Features, Diagnosis, and Management Clin J Am Soc Nephrol 2008 ; 3 : 208-225.
2. Mégarbane B, Stephen W. Borron, F. Baud J Current recommendations for treatment of severe toxic alcohol poisonings Intensive Care Med. 2005 ; 31 : 189-195.
3. Yulia Sabeva, Petko Marinov, Sneza Zlateva, Mariana Koleva Denaturated alcohol as a frequentsource of methanol intoxication Journal of IMAB - Annual Proceeding (Scientific Papers) 2007 ; book.
4. Bruno Mégarbane, Frédéric Baud, Intoxication aiguë au méthanol. Méd. thérapeutique. 2001 ; 7 : 481-84.
5. Hantson PE Acute methanol intoxication : physiopathology, prognosis and treatment
Bull Mem Acad R Med Belg 2006 ; 161:425-34.
6. Mégarbane B, Stephen W. Borron, H T, Hantson P, Jaeger A et col. Treatement of acute methanol poisoning with fomepizole Intensive Care Med 2001 ; 27 : 1370 - 1378.
7. Krivosic V., Vignal-Clermont C, Blain P, Gaudric A Neuropathie optique bilatérale par intoxication aiguë au méthanol à propos d’un cas. Journal Français d’Ophtalmologie2001 ; 24 : 522-526
8. M. Blancoa, R. Casadob, F. Vázqueza and J.M. Pumara CT and MR imaging findings in methanol intoxication Am. J. Neuroradiology, 2006 : 452-454
9. M.Ould-Ahmed,I.Drouillard ,D.Fourel ,P.Caroff ,M.Guiavarch Découverte fortuite d’une intoxication au méthanol lors d’un état d’ébriété Ann. Fr.Anesth. Réanim 2000 ; 19 : 198-201.
10. Brent R. Ekins, Douglas E. Rollins, Douglas P. Duffy. Standardized Treatment of Severe Methanol Poisoning With Ethanol and Hemodialysis.West J Med 1985 ; 142:337-340
11. Essama J Mbia, JM Guérit,V Haufroid,Ph H. Fomepizole Therapy for Reversal of Visual Impairment after Methanol Poisoning : A Case Documented by Visual Evoked Potentials Investigation.Am J. Ophthalmol.2002 ; 134 : 914 -16.
12. KE Hovda and D Jacobsen Expert opinion : fomepizole may ameliorate the need for hemodialysis in methanol poisoning. Human & Experimental Toxicology 2008 ; 27 : 539-46.
13. Chen JC, Schneiderman JF, Wortzman G. Methanol poisoning : Bilateral putaminal and cerebellar cortical lesions on CT and MR.J Comput Assist Tomogr 1991 ; 15 : 522-34.
14. Hantson P, Duprez T. The value of morphological neuroimaging after acute exposure to toxic substances.
Toxicol Rev 2006 ; 25 : 87-98.
15. Morteza S Taheri, Moghaddam H H, Moharamzad Yr, Dadgari S, Vahideh Nahvi The value of brain CT findings in acute methanol toxicity European Journal of Radiology 2010 ; 73 : 211-214
16. M. Dujardin, E. Peeters, C. Ernst, T. Stadnik Bilateral putaminal necrosis due to methanol abuse JBR–BTR, 2006, 89 : 315-317.
17. Anderson, C. Alan ; Rubinstein, David ; Filley, Christopher M. ; Stears, John C. MR Enhancing Brain Lesions in Methanol Intoxication Journal of Computer Assisted Tomography. 1997 ; 21 : 834-836
18. Tufail Patankar, Lata Bichile, Dilip Karnad, Srinivasa Prasad and Krantikumar Rathod Methanol poisoning : Brain computed tomography scan findings in four patients Australasian Radiology 1999 ; 43 : 526-28
19. Amogh N. Hegde, Suyash Mohan, Narayan Lath, C. C. Tchoyoson Lim. Differential Diagnosis for Bilateral Abnormalities of the Basal Ganglia and Thalamus
Radiographics 2011 ; 31 : 5-30