Introduction
Les perforations oesophagiennes au décours d’une fausse route lors d’une intubation trachéale ont été décrites pour la première fois par Dubost [1] en 1970. Même si elles sont rares, lorsqu’elles surviennent, elles engagent souvent le pronostic vital du patient avec risque de survenue de médiastinite. Les causes sont multiples allant des tentatives d’intubation aux gestes d’endoscopie diagnostiques et/ou thérapeutiques. A travers un cas de survenue d’une fistule oeso-pleurale lors d’une intubation orotrachéale difficile pour une anesthésie programmée, les auteurs montrent les difficultésdiagnostiques et la possibilité d’un traitement médical évitant la sanction chirurgicale qui est lourde de conséquences.
Observation
Mlle S ND, 23 ans avait fait l’objet d’une cholécystectomie par voie laparoscopique sous
anesthésie générale. Aucun antécédent n’avait été retrouvé au cours de la consultation d’anesthésie, elle était classée ASA I et il n’y avait pas de critère d’intubation difficile prévisible. Au cinquième jour post-opératoire, étaient signalées une douleur cervicale, une dysphagie haute et une douleur de l’hémithorax droit gênant la respiration.
L’interrogatoire avait révélé une notion de difficulté à l’intubation avec plusieurs tentatives notamment des intubations oesophagiennes traumatiques avec l’utilisation d’un guide. L’état général était conservé. La patiente présentait une hypersialorrhée
et était apyrétique avec une hyperleucocytose à 20 000/mm3 à prédominance polynucléaire neutrophile. Les diagnostics évoqués étaient : un traumatisme des voies aériennes supérieures lors des tentatives d’intubation associé soit à une
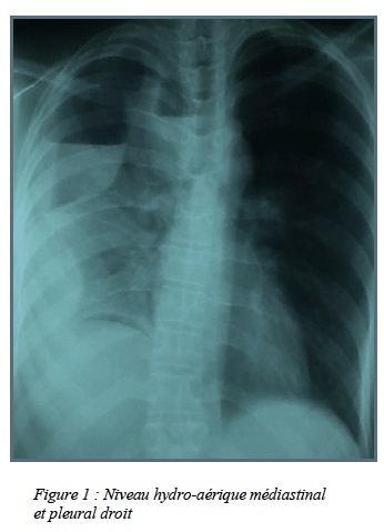
pneumopathie d’inhalation soit à un pneumothorax par brèche pleurale lors de la laparoscopie. Nous avions décidé de réaliser une radiographie pulmonaire examen plus accessible avant d’envisager une fibroscopie des voies aériennes. La radiographie pulmonaire avait permis de mettre en évidence un hydropneumothorax droit de grande abondance (figure 1)

ce qui avait motivé la mise en place d’un drainage thoracique. Devant l’absence de production du drain, une tomodensitométrie (TDM) thoracique avait été réalisée et avait permis de mettre en évidence la persistance de l’épanchement hydroaérique pleural droit associé à un épanchement hydoaérique paramédiastinal du même côté. Cette tomodensitométrie avait bien individualisé le drain posé au paravent qui était par ailleurs exclu, et avait permis d’éliminer l’existence d’une fistule broncho-pleurale. Par contre, il y avait un doute quant à l’intégrité de l’oesophage (figure 2)

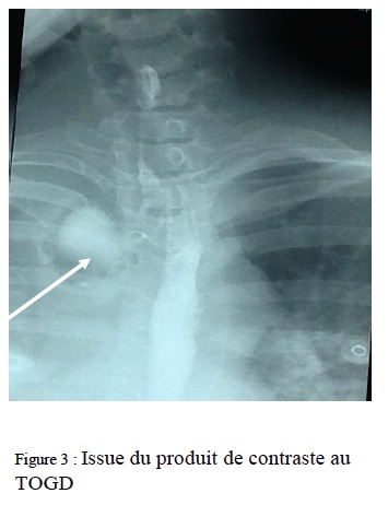
Un transit à la gastrografine avait montré un pertuis oesophagien avec fuite du produit de contraste (figure 3),

conforté par une deuxième tomodensitométrie avec reconstruction qui avait permis d’individualiser un pertuis de 1,6 cm communiquant l’oesophage cervical et la plèvre médiastinale à hauteur de C5C6 (figure 4).

Un deuxième drainage avait été effectué avec des irrigations ramenant un liquide purulent, des débris alimentaires et du sang vieilli. Une diète de 15 jours avait été prescrite avec une alimentation parentérale (1500 kcal/j) et une antibiothérapie par
Céfotaxime, Métronidazole et ciprofloxacine. Au dixième jour, un nouveau transit à la gastrografine avait permis d’infirmer la persistance de la fistule. La reprise d’une alimentation liquide avait été autorisée. Au bout de 72 heures, en l’absence d’issue de liquide dans la plèvre et devant un test au bleu de méthylène négatif avec des drains non productifs depuis 48 heures, l’ablation des drains avait été effectuée. L’alimentation était autorisée avec poursuite de la kinésithérapie respiratoire.
Discussion
Les perforations oesophagiennes sont graves et mettent souvent en jeu le pronostic vital du fait du risque élevé de survenue de médiastinite [2]. D’autres gestes peuvent être en cause tel que l’endoscopie digestive, les extractions de corps étranger, l’échocardiographie trans-oesophagien [3]. Un cas de perforation tardive au décours de l’arthrodèse cervicale a été rapporté [4]. Plusieurs facteurs favorisants ont été retrouvés, mais il s’agit quasiment des facteurs retrouvés au cours d’une intubation difficile [5]. L’utilisation de guide rigide comme ça été le cas de notre observation pourrait être incriminée. La localisation des fistules iatrogènes peut siéger à tous les niveaux de l’oesophage contrairement à la rupture spontanée ou syndrome de Boerhaave qui siège dans 90% des cas au niveau du 1/3 inférieur [6]. Le tableau clinique est variable classiquement il associe douleur cervicale qui se projette dans le thorax et une hyper sialorrhée [3]. Secondairement apparaît un emphysème sous cutané cervical et médiastinal, qui provoque à l’auscultation, le « mediastinal crunch ou signe de Hamman » comparable à un frottement péricardique [7]. Au stade de médiastinite, apparaît un syndrome infectieux avec fièvre, des troubles de la conscience, des troubles respiratoires puis des troubles du rythme cardiaque avec collapsus cardio-vasculaire [3]. Dans certains cas l’épisode aigu peut être méconnu et ne se révéler que par des pleurésies chroniques [3].Au cours des perforations intéressant le bas oesophage, un tableau de péritonite ou d’hémopéritoine par lésion vasculaire gastrique est possible [8]. La radiographie du thorax peut objectiver un pneumomédiastin avec des bandes claires cernant les structures cardio-vasculaires du médiastin, le bord supérieur de la coupole diaphragmatique gauche et le bord de l’oesophage réalisant le signe de Naclerio [9]. L’examen de choix pour mettre en évidence la fistule oesophagienne reste le transit aux hydrosolubles, il donne des informations satisfaisantes sur le niveau de la lésion et de la plèvre incriminée même s’il peut être pris en défaut dans 10 % des cas [9]. Le scanner reste l’examen de référence pour rechercher un pneumomédastin, pour apprécier l’état du parenchyme pulmonaire et préciser l’extension d’une abcédation médiastinale [9]. Le traitement médical préconisé consiste à l’arrêt de l’alimentation orale, une hyper alimentation parentérale, la lutte contre les déglutitions et l’hyper salivation, une antibiothérapie massive visant essentiellement les anaérobies et secondairement adaptée en fonction des prélèvements, le drainage-lavage des épanchements pleuraux. Ce traitement médical ne peut être préconisé que sous surveillance chirurgicale. Cette chirurgie est de règle en cas de non fermeture ou devant une perforation large et complexe, une nécrose massive et une perforation vue tard avec sepsis majeur [9]. La mortalité des perforations est variable estimée à 10 à 34 % [9]. Le retard diagnostic et le siège bas de la perforation sont des éléments de mauvais pronostic [9]. Le pronostic fonctionnel respiratoire est important avec des pachypleurites et des atélectasies entrainant un handicap respiratoire important [9].
Conclusion :
Le diagnostic de perforation de l’oesophage après une intubation difficile bien que rare reste de mauvais pronostic. Le traitement non-opératoire a une place limitée mais permet dans certains cas d’éviter une sanction chirurgicale. La prévention passe par une technique rigoureuse lors de toute intubation et le dépistage des patients à risque lors des consultations pré-anesthésiques
Références
1. Dubost CL. Un accident peu connu de l’anesthésie : la perforation de l’oesophage cervical par tentative d’intubation trachéale. Chir 1970 ; 96 : 268-274.
2. Jougon J, Delcambre F, Mac Bride T et coll. La mortalité des perforations instrumentales de l’oesophage est élevée : expérience de 54 cas traités. Ann Chir 2002 ; 127 : 26-31.
3. Marrackchi M, Kooli H, Kaffel N, Atallah L, Hajri H, Mermech M et coll. Les fistules oeso-trachéales iatrogènes. J Tun ORL 2003 ; 6 : 51-52.
4. Touré CT, Ka O, Dieng M, Diouf ML, Sakho Y. Perforation de l’oesophage : une complication tardive de l’arthrodèse cervicale. Ann Chir 2001 ; 126 : 817-818.
5. Andreassian P, Gehanno P. Perforation de l’oesophage au cours d’une intubation trachéale (à propos de 6 cas). Ann ORL Paris, 1982 ; 99 : 35-40.
6. Liebermann-Meffert D, Stein BH. Boerhaave’s syndrome in the man behind the syndrome. Diseases of Esophagus 1997 ; 10 : 77-85.
7. PakaJ JP, Fleischer DE, Kalloo AN. Endoscopic perforations of the upper digestive tract : a review of their pathogenesis prevention and management. Gastroenterology 1994 ; 106 : 787-802.
8. Fak M, Oudanane M, Halhal A, Tounsi A. Perforations oeso-gastriques au cours d’intubation trachéale. A propos d’un cas. Med Maghreb 1997 ; 12 : 5-7.
9. N. Cheynel, E. Arnal, F. Peschaud, P. Rat, A. Bernard, J.-P. Favre. Perforation et rupture de l’oesophage : prise en charge et pronostic. Ann Chir 2003 ; 128 : 163-166