<media1259|vignette|left>
Introduction
Les traumatismes thoraciques représentent la deuxième cause de mortalité en traumatologie après les traumatismes crâniens et l’énergie cinétique au moment du traumatisme constitue le principal déterminant de la gravité de ces lésions [1]. Parmi ces lésions, les atteintes trachéobronchiques sont rares, mais souvent mortelles. Les principales causes sont les accidents de la voie publique, la chute de grande hauteur, l’accident par écrasement, la plaie par arme blanche ou par arme à feu. Les plaies iatrogènes restent exceptionnelles [2,3].
L’endoscopie trachéobronchique reste un examen clé. Elle joue un rôle diagnostique et thérapeutique en orientant le choix thérapeutique et en plaçant le ballonnet de la sonde d’intubation en aval de la lésion. Le traitement reste un sujet de controverse, il peut être chirurgical ou conservateur [4]. Nous rapportons un cas de rupture bronchique secondaire à un traumatisme thoracique fermé ayant nécessité une pneumonectomie en urgence au CHU Hassan II de Fès. L’objectif de cette observation est de rappeler l’importance de chercher une lésion trachéobronchique devant tout traumatisme thoracique violent.
Observation
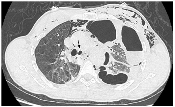
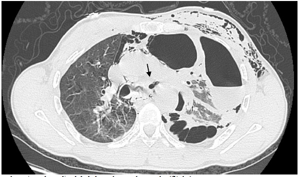
Mr T.A âgé de 47 ans, tabagique chronique, a été victime le 22 janvier 2011 d’un traumatisme thoracique fermé violent secondaire à un accident de travail à Errachidia, ville situé à 364 km de Fès. Il a été écrasé contre un mur par un camion benne transportant du sable, faisant marche arrière, avec un point d’impact principalement thoracique sans notion de perte de connaissance, ni d’hémoptysie. L’examen à son admission au service d’accueil des urgences, trouvait un patient conscient, polypneique à 20 cycles /min, la fréquence cardiaque était à 90 batt/min et la pression artérielle à 130/80 mmHg. L’examen du thorax, trouve des lésions ecchymotiques avec des douleurs à la palpation des côtes et un emphysème sous cutané. Les pouls périphériques étaient symétriques. L’auscultation pulmonaire trouvait une diminution du murmure vésiculaire du côté gauche. Le reste de l’examen était sans particularité. La radiographie du thorax a montré l’aspect d’un pneumothorax gauche cloisonné. Après la mise en condition, le patient est transféré aux urgences du CHU de Fès. Un scanner thoracique réalisé en urgence, a mis en évidence un pneumothorax gauche cloisonné, une contusion pulmonaire, des fractures costales gauches (du 3ème à la 6 ème côte), un emphysème sous-cutané, un pneumomédiastin et une rupture de la bronche souche gauche [fig1,2].


La rupture a été confirmé par une fibroscopie bronchique, d’où l’indication d’une thoracotomie pour réparation chirurgicale. Le reste du bilan lésionnel était sans particularité. Après induction en séquence rapide et intubation sélective droite, une thoracotomie gauche a été réalisée. L’exploration a mis en évidence une rupture complète de la bronche souche gauche à son origine et un aspect déchiqueté, délabré et épaissi du bout distal. Des sécrétions purulentes et un poumon sous-jacent contus, rendant la réparation impossible, d’où la réalisation d’une pneumonectomie gauche. En peropératoire, le patient est resté stable sur le plan hémodynamique avec quelques épisodes d’hypoxie. Le patient est transféré ensuite au service de réanimation polyvalente. Il a été extubé sans problème trois heures après, avec réalisation d’une analgésie multimodale et d’une kinésithérapie respiratoire. Le patient est transféré le 3ème jour au service de la chirurgie thoracique. Le 5 ème jour il a présenté une détresse respiratoire sur une pneumopathie hypoxémiante, d’où son réadmission en réanimation. Il a bénéficié d’une bi-antibiothérapie (céftriaxone, Lévofloxacine), d’une ventilation non invasive et de la kinésithérapie avec une bonne évolution. Il est sorti de l’hôpital le 20ème jour en bon état général.
Discussions :
La rupture trachéobronchique constitue une complication rare des traumatismes thoraciques fermés. Les principaux mécanismes responsables sont le choc direct, la décélération brutale, l’hyperextension cervico-céphalique et l’hyperpression thoracique à glotte fermée [1]. Les principales causes iatrogènes sont représentés essentiellement par la trachéotomie percutanée, les explorations bronchoscopiques avec ou sans mise en place de prothèse et l’intubation trachéale, dont les principaux facteurs de risque sont l’intubation avec sonde double lumière, l’intubation en urgence, l’expérience de l’anesthésiste, l’âge avancé, le sexe féminin et la présence d’une pathologie trachéale sous-jacente (trachéomalacie, sténose) [5].
Le traumatisme trachéobronchique peut mettre en jeu le pronostic vital par obstruction trachéale, pneumothorax compressif, tamponnade gazeuse, état de choc ou noyade hémorragique. Ainsi, le pronostic dépend de la rapidité de la prise en charge. Plus de 95 % de ces ruptures siègent à 2,5 cm autour de la carène, comme chez notre patient [4]. Les principaux signes évocateurs sont la présence d’une hémoptysie importante, un pneumomédiastin et l’emphysème sous-cutané. Le pneumothorax est souvent présent, soit d’emblée, soit après intubation ou ventilation avec pression positive. La persistance d’un bullage important avec difficulté de réexpansion du poumon sous-jacent après drainage thoracique est un indicateur de la sévérité de la lésion. La radiographie thoracique est anormale dans 90% des cas. Le scanner thoracique peut mettre en évidence des signes directs (solution de continuité, déformation focale de la paroi trachéale, déformation du ballonnet) ou des signes indirects (pneumomédiastin, emphysème sous-cutané, pneumothorax, présence d’air en paratrachéal).
La fibroscopie trachéobronchique reste l’examen de référence. Elle a un rôle diagnostique et thérapeutique en orientant le choix thérapeutique et en plaçant le ballonnet de la sonde d’intubation en aval de la lésion [4,5]. Le traitement peut être, chirurgical ou conservateur. Les principales indications du traitement chirurgical sont un pneumothorax compressif avec fistule trachéobronchopleurale, pneumomédiastin et emphysème sous cutané importants, une rupture trachéal supérieure à 2 cm, une hernie de l’oesophage dans la lumière de la trachée et la présence de médiastinite. La réparation se fait par des points de suture avec un fil résorbable. En cas de signes de médiastinite, la protection des points de suture est nécessaire par un matériel péri-trachéal (plèvre, péricarde, muscle, oesophage) pour prévenir le développement d’une fistule oeso-trachéale. La voie d’abord dépend de la localisation et de l’étendue de la lésion, cervical (larynx, trachée cervicale), thoracotomie droite (trachée distale, bifurcation, bronches souches, thoracotomie gauche (lésion bronchique gauche isolée) [6,7]. Sur le plan anesthésique, il faut une coordination parfaite entre le chirurgien et l’anesthésiste. Ainsi, ce dernier est souvent sollicité pour l’application d’une jet-ventilation, le repositionnement de la sonde d’intubation et la réalisation d’une intubation sélective.
La gestion de la ventilation en postopératoire est capitale pour assurer une bonne cicatrisation, elle comprend un positionnement du ballonnet de la sonde d’intubation en aval des points de suture, le maintien d’une basse pression et un sevrage respiratoire le plutôt possible avec une humidification et des fibro-aspiration fréquentes [6,7]. La morbidité globale (atélectasies, pneumopathie, sténose, fistule trachéo-oesophagienne) est entre 11,4 et 35% et la mortalité entre 4 et 30% [8]. Selon la littérature, les bons résultats postopératoires sont en faveur de la réparation bronchique au lieu de la résection, même dans des ruptures bronchiques complexes. Malheureusement, ce n’était pas le cas de notre patient, chez qui la pneumonectomie était la seule solution devant, le délabrement, épaississement et les signes d’infection au niveau du bout distal de la bronche souche et l’importance de la contusion pulmonaire gauche.
Dans une étude rétrospective portant sur 32 patients pris en charge au centre hospitalier. Dicle en Turquie, entre 1988 et 2002 pour lésions trachéobronchiques secondaires aux plaies (59%) et au traumatisme thoracique fermé (41%), une seule résection (lobectomie supérieure droite) a été réalisée, devant la contusion du lobe et la non réexpansion sous ventilation [8]. Le traitement conservateur peut être adopté en cas de lésion inférieure à 2 cm ou lorsque le risque périopératoire est très important. Il comprend une antibiothérapie, un drainage thoracique du pneumothorax et une intubation avec ballonnet en aval de la déchirure, tout en évitant l’élévation des pressions intrathoraciques [6,7,8]. Cardillo.G a rapporté une très bonne évolution sous traitement conservateur avec application endoscopique de la colle de fibrine (Tissucol®) chez 29 patients, victimes de lésions trachéobronchiques post-intubation et Jong-Lyel Roh chez un enfant de 7 ans, ayant présenté une rupture spontanée de la paroi postérieure de la trachée cervicale à la suite d’un effort de toux [5,9].
La morbi-mortalité liée au traitement conservateur est plus importante par rapport au traitement chirurgical. Les principales complications sont la sténose, la pneumopathie et la médiastinite. Ainsi, Leinung.S a rapporté dans une étude rétrospective incluant 42 patients ayant été pris en charge pour rupture trachéobronchique d’origine traumatique entre 1995 et 2004, un taux de mortalité globale de 38%, avec 28% pour le traitement chirurgical et 33% pour le traitement conservateur [10].
Conclusion :
Les ruptures trachéobronchiques restent une complication rare. Les principales étiologies sont les traumatismes du thorax et les lésions iatrogènes. Les principaux signes évocateurs sont l’hémoptysie, l’emphysème sous-cutané, le pneumothorax et le pneumomédiastin. La fibroscopie bronchique est l’examen clé. Le pronostic dépend de la rapidité de la prise en charge et le traitement chirurgical avec réparation des lésions reste le traitement de choix.
Références :
1. Muller, Lefrant.J-Y, De la coussaye.J.E. Traumatismes fermés du thorax. Conférences d’actualisation 2005, 239-60.
2. Collange.O, Veber.B. Traumatismes trachéobronchiques. Médecine d’urgence 2002:107-16.
3. Hayi-Slayman.D, Page.M, Ben Cheikh.A, Christin.F, Ber.C-E, Rimmelé.T. Rupture trachéale après intubation orotrachéale en réanimation. Ann FrAnesth. Réanim 2007 ; 26 : 600-63.
4. Berend.M, Jahandiez.V, Wallet.F, Hacquard.H, Tronc.F, David.J-C. Rupture traumatique trachéobronchique : gestion des voies aériennes. Ann. Fr. Anesth Réanim 2010 ; 29 : 491-93.
5. Cardillo.G, Carbone.L, Carleo.F, Batzella.S. Tracheal lacerations after endotrachéale intubation : a proposed morphological classification to guide non-
surgical treatment. European Journal of Cardio-Thoracic Surgery 2010 ; 37 : 581-87.
6. Leinung.S, Mobius.C, Hofmann.H-S, Ott.R, Ruffert.H. Iatrogenic tracheobronchial ruptures-treatment and outcomes. Interactive CardioVascular and Thoracic Surgery 2006 ; 5 : 303-6.
7. Gabor.S, Renner.H, Pinter.H, Sankin.O, Maier.A. Indications for surgery in tracheobronchial ruptures. European Journal of Cardio-thoracic Surgery 200 ;20:399-404.
8. Balci.A-E, Eren.N, Eren.S, Ulku.R. Surgical treatment of post-traumatic tracheobronchial injuries : 14-year experience. European Journal of Cardio-Thoracic Surgery 2002 ; 22 : 984-89.
9. Roh.J-L, Lee.J-H. Spontaneous tracheal rupture after severe coughing in a 7-year-old boy. Pediatrics 2006 ; 118 : 224-27.
10. Leinung S, Ott R, Eichfeld U. Tracheobronchial ruptures : classification and management. Chirurg 2005 ; 76 : 783-88.