Introduction
L’oedème pulmonaire neurogénique est décrit comme une dyspnée aiguë ou une diminution de la pression partielle artérielle en oxygène (Pa02) due à une congestion interstitielle et alvéolaire après une agression du système nerveux central [1,2]. Il s’agit d’une affection relativement fréquente mais souvent non ou sous-diagnostiquée par le praticien. La mortalité y afférente est élevée [1], en cas de survie, il compromet l’avenir neurologique du patient du fait de l’hypoxie qu’il provoque. Nous rapportons le cas d’un patient qui a développé un oedème pulmonaire neurogénique au décours d’un traumatisme crânien grave
Observation
Un homme de 60 ans était admis au service des urgences puis au service de réanimation chirurgicale du CHU Joseph Ravoahangy Andrianavalona, le 24 Juillet 2008, à la suite d’une chute dans un ravin, sans point d’impact précis. Le patient était éthylique, tabagique à 10 paquets années et présentait dans les antécédents une notion de crises convulsives apyrétiques. Il n’avait pas d’antécédents cardiovasculaires ni respiratoires antérieurs. A l’entrée, la pression artérielle était de 140/80 mm Hg, la fréquence cardiaque était à 90 battements par minute, la fréquence respiratoire à 30 cycles par minute et le patient était coloré. La saturation périphérique en oxygène (Sp02) était de 97%. L’examen neurologique avait révélé un score de Glasgow à 8/15, des pupilles en myosis réactives symétriques, un déficit moteur gauche et une raideur de la nuque. Le reste de l’examen était normal. L’hémogramme avait montré une légère anémie normochrome normocytaire, et une hyperleucocytose à prédominance neutrophile. L’ionogramme sanguin et le reste de l’examen sanguin étaient normaux. La tomodensitométrie cérébrale effectuée en urgence avait objectivé une volumineuse hémorragie intracérébrale droite avec oedème péri lésionnel compliquée d’une hémorragie sous-arachnoïdienne et d’une inondation intra ventriculaire. On notait également une fracture multi fragmentaire de la paroi du sinus maxillaire droit. (figure1)

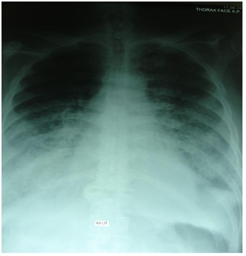
Quelques heures après l’accident, on notait la survenue brutale d’une dyspnée avec chute de la saturation artérielle en oxygène à 88% malgré une oxygénation à 5 litres par minutes. L’examen physique révélait une cyanose discrète des extrémités, des expectorations saumonées, une tachycardie à 120 battements par minutes et des gros crépitants en marée montante au niveau des deux champs pulmonaires. On n’avait noté ni galop ni souffle cardiaque. La radiographie pulmonaire avait montré des opacités alvéolaires bilatérales prédominant au niveau hilaire (figure 2).

L’électrocardiographie était normale à part la tachycardie sinusale. L’échocardiographie était normale. Une intubation orotrachéale suivie de ventilation mécanique avec une pression positive de fin d’expiration de 8mmHg avait été décidée. Le patient avait bénéficié d’une administration de diurétiques, de corticoïdes : Methylprednisolone à 1 mg/kg ainsi que d’anti- H2 (Ranitidine) pour la prévention de l’ulcère de stress, concomitante à l’administration d’anti-oedémateux (mannitol). Les mesures générales et les soins de nursing communs à tous traumatismes crâniens graves avaient été respectés. Par ailleurs, la prévention des agressions cérébrales secondaires d’origine systémique était effectuée. Malgré cela, le patient était décédé au troisième jour d’hospitalisation d’oedème aigu du poumon.
Discussions
L’oedème pulmonaire neurogénique a été décrit pour la première fois par Shanahan en 1908 sur des patients ayant présenté des convulsions généralisées graves [3]. Depuis, la littérature rapporte des cas résultants de causes diverses (tumeurs cérébrales, méningites, ischémie cérébrales,…). La principale cause est l’hémorragie sous-arachnoïdienne, traumatique comme celle rencontrée chez notre patient ou par rupture d’anévrysme intracrânien ; 43 à 73% des oedèmes pulmonaires résultent d’une hémorragie sous-arachnoïdienne. Il est également rencontré dans près de 20% des traumatismes crâniens graves [1,4]. L’explication physiopathologique reste hypothétique mais deux mécanismes plus ou moins intriqués sont les plus évoqués [1, 5,6]. L’hypothèse hémodynamique suppose qu’à la suite d’une élévation de la pression intracrânienne ou lors de lésion ou stimulation spécifique des centres responsables de l’autorégulation du tonus capillaire pulmonaire (hypothalamus, neurones catécholaminergiques A1 de la medulla oblongata, centres pré ganglionnaires cervicaux), il y a une hyperstimulation sympathique par décharge catécholaminergique accrue. Cela va entrainer une vasoconstriction pulmonaire et une élévation rapide de la pression hydrostatique capillaire pulmonaire à l’origine d’une inondation interstitielle puis alvéolaire quand la pression transmurale s’élève au-delà de 40 mm Hg. D’un autre côté, le « blast theory » suppose que l’oedème initialement hydrostatique puisse secondairement entrainer un oedème de perméabilité par fracture secondaire de la paroi capillaire, et l’inflammation provoquée serait à l’origine de largage de protéines de l’inflammation qui favoriserait l’exsudation au niveau des alvéoles. Depuis quelques années, on pense qu’une dysfonction cardiaque résultant d’une libération exagérée de catécholamines et des perturbations métaboliques serait également impliquée dans la survenue de l’oedème pulmonaire [7]. Cliniquement il se présente comme tout oedème pulmonaire sous forme de tachypnée, tachycardie, émission d’expectorations roses saumonées et on retrouve des râles alvéolaires à l’auscultation pulmonaire. Ces signes étaient présents chez notre patient. Parfois une fièvre modérée peut se rencontrer [6]. L’oedème pulmonaire neurogénique se distingue des autres oedèmes par sa survenue quelques minutes à quelques heures après une agression sévère du système nerveux central, par sa résolution rapide en 2 à 3 jours, par l’absence d’antécédents cardio-pulmonaires préexistant et par l’absence d’une origine cardiogénique [1,4,8]. La biologie est peu spécifique. Parfois, on rencontre comme chez notre patient une légère hyperleucocytose [6] ainsi qu’une élévation des enzymes cardiaques [9,10]. Le gaz du sang peut montrer une diminution de la pression partielle en oxygène et du pH sanguin. Généralement, la radiographie pulmonaire montre un syndrome alvéolaire bilatéral avec une aire cardiaque normale. Mais une localisation unilatérale peut se rencontrer comme dans le cas rapporté par Perrin [11]. Les explorations cardiaques comme l’électrocardiographie, l’échocardiographie, la scintigraphie cardiaque et les explorations hémodynamiques invasives sont souvent normales. Mais des anomalies peuvent se remarquer lors de dysfonction cardiaque neurogénique associée [4,7]. Il faut éliminer les diagnostics différentiels comme les pneumonies d’aspiration, les infections respiratoires, les excès de remplissage et l’oedème cardiogénique. L’absence d’aspiration fréquente, l’apparence des secrétions trachéales, le rapide développement et résolution de l’oedème, l’absence d’élévation de la procalcitonine et la survenue après un stress neurologique sont en faveur de l’origine neurogénique de l’oedème [4]. Le traitement est à la fois causal en diminuant la pression intracrânienne et symptomatique, consistant en une amélioration de la fonction respiratoire et en une optimisation de l’état hémodynamique [1,4,12]. La diminution de la pression intracrânienne peut être obtenue chirurgicalement (évacuation d’un hématome, volet de décompression,…) ou médicalement par l’usage d’un anti-oedémateux. Parfois, une hypercapnie modérée ou une hypothermie peuvent être proposées. L’amélioration de la fonction respiratoire passe par une oxygénothérapie, à l’usage de diurétiques, de bronchodilatateurs, et parfois par la mise en position ventrale sous couvert d’un bon monitorage de la pression intracrânienne. Un support ventilatoire est souvent utile. Autant que possible, la ventilation non invasive est privilégiée. Sinon, le recours à la ventilation invasive avec pression positive de fin d’expiration est de mise, utilisée avec précaution car elle peut diminuer le retour veineux et compromettre la perfusion cérébrale. L’optimisation de l’état hémodynamique consiste à abaisser la pré et la post charge surtout en diminuant la résistance vasculaire par l’administration d’alpha adrénolytiques (chlorpromazine, labetalol,…). Expérimentalement l’oxyde nitrique a aussi montré son efficacité. Une augmentation de la contractilité myocardique peut être obtenue par l’administration d’inotropes positifs essentiellement la dobutamine. En effet, le patient avec oedème pulmonaire neurogénique présente une diminution du volume circulant et est donc considéré comme à haut risque d’ischémie cérébrale. Le traitement devrait donc être balancé par rapport aux risques d’hypovolémie [13]. A ce jour, aucun traitement préventif n’est bien individualisé. Pourtant, Sedy a suggéré que l’administration précoce d’une forte dose d’atropine pourrait diminuer la survenue d’oedème pulmonaire neurogénique en atténuant la diminution de la fréquence cardiaque [14]. Notre patient était décédé au troisième jour malgré le traitement. Généralement, l’oedème pulmonaire neurogénique se résout en 48 à 72 heures [4]. Le pronostic de survie est corrélé avec l’état neurologique du patient. La mortalité réellement attribuable à l’oedème pulmonaire est de l’ordre de 7 à 10% [4,5,8].
Conclusion
L’oedème pulmonaire neurogénique est une complication relativement fréquente mais sous-diagnostiquée des atteintes graves touchant le système nerveux central. Le praticien devrait toujours y penser devant la survenue de dyspnée ou d’une hypoxie après une agression cérébrale afin d’entamer les mesures adéquates qui présentent certaines particularités par rapport à celles requises dans les autres causes d’oedème pulmonaire. La connaissance des mécanismes physiopathologiques a permis d’optimiser la prise en charge. Mais le traitement institué devrait toujours veiller à ne pas aggraver les lésions cérébrales initiales.
Références
- Baumann A, Audibert G, Mc Donell J, Mertes PM. Neurogenic pulmonary edema. Acta Anaestegiol Scand 2007 ;51:447-455
- O’Leary R, McKinley J. Neurogenic pulmonary edema. Contin Educ Anaesth Crit Care Pain 2011 ; 11 : 87-92
- Figueiredo EG, Oliveira AMP, De Almeida RCE, Teixeira MJ.Subarachnoid hemorrhage and hydrocephalus causing neurogenic pulmonary edema. Arq Neuropsyquiatre. 2010 ; 68 : 461-62
- Shanahan WT. Acute pulmonary oedema as a complication of epileptic seizures. NY Med J 1908 ; 87 : 54-56
- Sedy J, Zicha J, Kunes J, Jendelova P, Sykova E. Mechanisms of neurogenic pulmonary edema development. Physiol Res 2008 ; 57 : 499-506
- Agrawal A, Timothy J, Pandit L, Kumar A, Singh GK, L akshmi R. Neurogenic pulmonary oedema. Eur J Gen Med 2007 ; 4:25-32
- Bahloul M, Chaari A, Chabchoub I, Chtara K, Abid L, Kallel H, Bouaziz M. Place de l’atteinte cardiaque lors de l’oedème pulmonaire neurogénique. Réanimation 2010 ; 19:111-120
- Fontes RB, Agular PH, Zanetti MV, Andrade F, Mandel M, Teixeira MJ. Acute neurogenic pulmonary edema : case
- reports and litterature review. J Neurosurg Anesthesiol 2003 ; 15 : 144-150
- Meaudre E, Polycarpe A, Pernod G, Salinier L, Cantais E, Bruder N. OEdème pulmonaire neurogénique au cours des hémorragies sous-arachnoidiennes et brain natriuretic peptide. Ann Fr Anesth Reanim 2004 ; 23 : 1076-1079
- Mun SH, Choi WJ, Mok JM, Yang JY, Woo CH. Neurogenic-stunned myocardium and pulmonary edema following a ruptured cerebral aneurysm. Korean J Crit Med 2010 ; 25 : 93-97
- Perrin C, Jullien V, Vénissac N, Lonjon M, Blaive B. un cas d’oedème pulmonaire neurogénique unilatéral. Rev pneumol clin 2004 ; 60 : 43-45
- Seric V, Roje-Bedekovic M, Demarin V. Neurogenic pulmonary edema. Acta Clin Croat 2004 ; 43 : 389- 395
- Hoff RG, Rinkel GJE, Verweij BH, Algra A, Kalkman CJ. Pulmonary edema and blood volume after aneurismal subarachnoid hemorrhage : a prospective observational study. Crit care 2010 ; 14 : R43
- Sedy J, Zicha J, Kunes J, Sykova E. Atropine may prevent the development of neurogenic pulmonary oedema. Med hypotheses 2009 ; 73 : 42-44