Auteur correspondant:Kryste Chancel MAHOUNGOU-GUIMBI. Email : mahoungouguimbi chez yahoo.fr
Introduction
L’incidence des accidents vasculaires cérébraux (AVC) est en augmentation aussi bien dans les pays développés que dans les pays en développement [1-3]. Les AVC hémorragiques, moins fréquents, ont une gravité et la mortalité plus importantes [4]. Tel est le cas des hématomes du cervelet, entité nosologique des AVC hémorragiques siégeant dans la région sous-tentorielle, au niveau de la fosse postérieure. Ces hématomes du cervelet présentent des risques de gravité, en raison de l’étroitesse de la fosse postérieure et de la proximité du tronc cérébral. Nous rapportons trois observations de patients admis pour hématome cérébelleux dans notre service.
Observations
Observation 1 :
Il s’agit d’un homme âgé de 62 ans, hypertendu, référé par le service des urgences et admis dans le service de réanimation polyvalente pour sensation vertigineuse et vomissement. L’examen clinique a mis en évidence une conscience normale, un rythme cardiaque régulier avec des chiffres tensionnels respectivement de 190 mmHg pour la systolique et 110 mmHg pour la diastolique ; le reste de l’examen clinique étant sans particularité. Les explorations biologiques ont révélé des leucocytes à 7500/mm3, un taux d’hémoglobine 13,5 g/dl, un taux d’hématocrite de 41 %, un nombre de plaquettes évalué à 175000. La C-réactive protéine était de 5 mg/l, le taux de prothrombine se chiffrait à 85 %, le temps de céphaline plus activateur égal à 30/27 (patient/témoin) ; la natrémie estimée à 145 mEq/l, la kaliémie 4,2 mEq/l, l’urée sanguine à 0,4 g/l, la créatininémie à 10 mg/l. A la tomodensitométrie cérébrale, il s’agissait d’un hématome de la fosse postérieure. Le patient a bénéficié du traitement médical fait de paracétamol intraveineux, tramadol intraveineux et de nicardipine au pousse-seringue électrique puis per os. L’évolution était favorable, le patient a rejoint son domicile à j10, après régression des sensations vertigineuses.
Observation 2 :
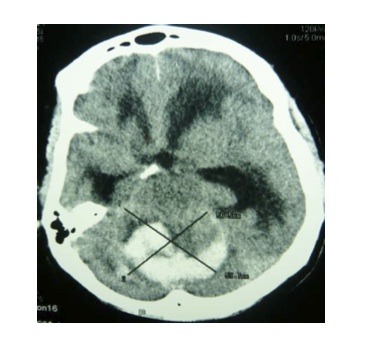
un homme de 56 ans, issu d’un milieu rural, hypertendu est admis le 22 juin 2011 au service de réanimation polyvalente. Avant son admission dans le service il présente un trouble de l’équilibre avec une pression artérielle de 250 /140 mmHg, puis s’installe rapidement un coma. Le patient a bénéficié d’un traitement par nicardipine intraveineux et du mannitol 10 %. Il a été ensuite transporté de façon non médicalisée vers la ville de Pointe noire pour conditionnement en vue de son transfert à Brazzaville. A l’arrivée à Pointe noire, le patient présente un coma profond et la saturation pulsée en oxygène est à 86 % ; il est bien coloré et l’état hémodynamique stable : fréquence cardiaque à 76 bpm et pression artérielle à 150/100 mmHg. Une intubation orotrachéale est réalisée après une induction à séquence rapide utilisant l’étomidate et la célocurine. La sédation associant midazolam et fentanyl est mise en route, ainsi qu’une ventilation mécanique. Le bilan biologique objective des leucocytes à 14700/ mm3, un taux d’hémoglobine de 16,6 g/dl, un taux d’hématocrite à 48,4 %, un nombre de plaquettes évalué à 319 000 ; une natrémie estimée à 136,9 mEq/l, une kaliémie de 5,0 mEq/l ; un taux de prothrombine de 84 %. L’électrocardiogramme montre une tachycardie régulière sinusale. La tomodensitométrie cérébrale révèle un hématome cérébelleux de 59 mm × 39 mm avec effet de masse sur le quatrième ventricule et une dilatation triventriculaire sus-jacente (figure 1). Au regard de ces aspects tomodensitométriques, un transfert vers le service de réanimation polyvalente du Centre Hospitalier Universitaire de Brazzaville est demandé pour une prise en charge optimale. A l’arrivée au service de réanimation polyvalente, la sédation était de niveau 6 selon le score de Ramsay [5], la température à 37° C, la SpO2 à 98 %, la fréquence cardiaque à 100/min et la tension artérielle de 160/90 mm Hg. La tomodensitométrie de contrôle mettait en évidence un hématome du cervelet avec une hydrocéphalie importante (figure 2). Aprèsavis du neurochirurgien, une dérivation externe du liquide céphalo-rachidien (LCR) a été réalisée, produisant quotidiennement en moyenne 400 ml de LCR. Une amélioration de l’état neurologique a été notée au deuxième jour, le score de Glasgow était évalué à 8/10, le patient étant toujours intubé. Le patient était décédé à j12 d’hospitalisation, des suites d’une pneumopathie hypoxémiante nosocomiale tardive, diagnostiquée à j8.

Observation 3 :
une femme âgée de 72 ans, hypertendue, était hospitalisée au service de neurologie pour -obnubilation, précédée de céphalée intense en casque et de vomissements. La tomodensitométrie cérébrale a permis de diagnostiquer un volumineux hématome de la fosse postérieure. La patiente a été alors orientée au service de neurochirurgie pour une prise en charge chirurgicale. L’hématome était évacué en position décubitus ventral sous anesthésie générale, l’induction était à séquence rapide utilisant le propofol à 1 % et la célocurine, complétée par le fentanyl. L’anesthésie était entretenue à l’isoflurane à 0,7 MAC, du vécuronium et des bolus de fentanyl. La pression artérielle oscillait entre 120 mmHg et 150 mmHg pour des pressions systoliquesde 70 mmHg et 90 mmHg pour les diastoliques. La fréquence cardiaque variait entre 70 et 100 battements/minute, alors que la saturation périphérique en oxygène demeurait fixée à 98 % pendant toute l’intervention. La patiente a été admise intubée en réanimation dans les suites opératoires immédiates. La ventilation mécanique en mode volumétrique était poursuivie en réanimation, l’état hémodynamique demeurant stable. Le bilan biologique en post-opératoire révélait : des leucocytes à 11 300/mm3, un taux d’hémoglobine à 14,1 g/dl, un taux d’hématocrite 45,8 %, des plaquettes à 106 000 ; une natrémie à 146 mEq/l, une kaliémie à 4,4 mEq/l. L’évolution était marquée par la survenue d’un sepsis sévère à j2, responsable du décès de la patiente à j3 post-opératoire.
Discussions
L’hématome spontané du cervelet a une fréquence variable, et son incidence augmente avec l’âge [6]. Les trois observations que nous rapportons montrent que tous les patients sont âgés de plus de 50 ans, et deux des trois sont âgés de plus de 60 ans. La prédominance masculine est retrouvée [7], les patients dans les observations 1 et 2 étant de sexe masculin. Tous sont porteurs d’une hypertension artérielle (HTA) qui reste la seule étiologie incriminée chez nos patients, en l’absence d’angioscanner. Les traitements anticoagulants, les troubles de la crase et certaines hémopathies qui peuvent être cause des hématomes cérébelleux spontanés, ne sont pas retrouvés [8]. Les symptômes cliniques, céphalée et vomissements, sont présents chez tous les trois patients. Deux patients ont en plus un trouble de l’équilibre. Les considérations anatomiques du cervelet font que les hématomes significatifs se traduisent cliniquement par le trépied de l’hypertension intracrânienne. L’altération secondaire de la conscience concerne deux patients (observations 2 et 3), et elle représente une urgence médicochirurgicale. La réanimation dans l’observation 2 est menée tardivement du fait de la mauvaise couverture du pays en services des soins d’urgence. Il s’agit d’un patient présentant un volumineux hématome avec effet de masse sur le quatrième ventricule et une hydrocéphalie sus-jacente, bénéficiant ainsi d’un drainage externe du liquide céphalo-rachidien (LCR). Ce traitement serait insuffisant et pourrait expliquer l’absence d’amélioration significative du patient. En effet, l’évacuation de l’hydrocéphalie seule est insuffisante pour les patients porteurs d’hématome cérébelleux avec oblitération des citernes de la base [9]. Dans le même sens, Balhloul et Kalamarides [10] estiment que l’évacuation tardive de l’hématome du cervelet associé à un coma est un facteur de mauvais pronostic. La craniotomie sous-occipitale précédée ou non du drainage du LCR, constitue le traitement de référence des hématomes cérébelleux avec altération de la conscience [10]. Les suites opératoires sont compliquées de sepsis sévère chez la patiente, responsable de son décès au troisième jour post-opératoire.

Conclusion
Ces observations illustrent des difficultés encore existantes quant à la prise en charge de l’hématome spontané du cervelet. L’absence de structures pouvant assurer les soins d’urgence compromet la survie des patientes présentant rapidement des troubles de la conscience au décours de la constitution de l’hématome. Le succès de la réanimation dépend d’une part des équipements et de la qualité des soins, d’autre part de la nature du traitement chirurgical institué. Une bonne évaluation est un gage de chance de survie. Toutefois, la réduction de la mortalité des formes graves avec troubles de conscience est possible ; en effet l’HTA, principal facteur étiologique incriminé se caractérise par une prise en charge bien codifiée.
Références
- Olesen J, Leonardi M. The burden of brain diseases in Europe. Eur J Neurol. 2003 ;10 : 471– 477
- Manton KG. The global impact of non-communicable diseases : estimates and projections. World Health Stat Q. 1988 ; 41 : 255–266.
- Tolonen H, Mahonen M, Asplund K et al. Do trends in population levels of blood pressure and other cardiovascular risk factors explain trends in stroke event rates ? WHO MONICA Stroke Project World Health Organization Monitoring of Trends and Determinants in Cardiovascular Disease. Stroke. 2002 ; 33 : 2367–2375
- Broderick JP, Adams HP, Barsan W, et al. Guidelines for the management the spontaneous intracerebral hemorrhage. A statement for healthcare professionals from a special writing group of the stroke council, American Heart Association. Stroke 1999 ; 30 : 905-915
- Thuong M. Quels sont les outils d’évaluation de la sédation et de l’analgésie ? Ann FrAnesth Réanim 2008 ; 27 : 581-595
- Gillard C, Mathurin P, Passagia JP, Kallel S, Thauvoy C, Stroobandt G. L’hématome spontané du cervelet. Neurochirurgie 1990 ; 36 : 347-53
- Labauge R, et coll. Hématomes spontanés du cervelet. Rev Neurol 1983 ; 139 (3) : 193-204
- Kase CS, Robinson RK, Stein RW. Anticouagulant related intracerebral hemorrhage. Neurology 1985 ; 35 : 943-8
- Van Loon, Van Calenbergh F, Goffin J, Plets C. Controversies in the management of spontaneous cerebellar hemorrhage. Acta Neurochir 1993 ; 122 : 187-93
- Bahloul K, Kalamarides M. Hématome du cervelet. Sang Thrombose Vaisseaux 2003 ; 15 (8) ; 464-467