Introduction
Le syndrome de détresse respiratoire aiguë (SDRA) est l’expression d’une atteinte anatomique et fonctionnelle de la membrane alvéolo-capillaire, se traduisant par des altérations des échanges gazeux de sévérité variable [1]. Son incidence serait comprise entre 1,5 et 4,5 cas pour 100.000 habitants et par année en Europe [2].Les états infectieux constituent la principale étiologie du SDRA, qu’ils soient d’origine pulmonaire ou extra pulmonaire [3]. Ces infections peuvent être d’origine bactérienne, parasitaire ou virale.Nous rapportons un cas de SDRA secondaire à une infection à virus AH1N1 observé au service de Réanimation médicale du CHU Antananarivo (Hôpital Joseph Raseta Befelatanana) dont l’évolution a été favorable
Observation
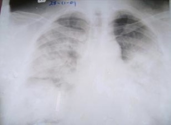
Il s’agissait d’un homme âgé de 45 ans d’origine Malgache, médecin, domicilié à Itaosy Antananarivo, sans antécédent particulier admis au service de Réanimation médicale de l’Hôpital Joseph Raseta Befelatanana (CHU d’Antananarivo) le 28 Novembre 2009 pour une dyspnée aiguë.Le début de la maladie remonterait au 27 novembre 2009 par un syndrome grippal traité sans succès avec du paracétamol et des mucolytiques (N acétyl cystéine).Le patient a été hospitalisé en réanimation devant la majoration de la dyspnée avec orthopnée.A l’admission en réanimation, le patient était conscient, l’hémodynamique était stable. On notait une polypnée à 44 cycles/min, une cyanose, des sueurs, des râles crépitant diffus dans les deux champs pulmonaires et une hyperthermie à 40°C. Devant ce tableau clinique, la radiographie pulmonaire (Fig. 1) a montré des opacités alvéolaires diffuses, bilatérales évocatrices d’un œdème aigu du poumon. L’électrocardiographie (ECG) montrait une tachycardie sinusale régulière.

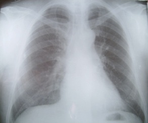
On notait une hyperleucocytose à 16600 /mm3 à polynucléose neutrophile ; un taux de protéine C réactive (CRP) à 100mg/l ; la gazométrie artérielle a montré une hypoxémie avec une pression artérielle en oxygène (PaO2) à 75 mm Hg et une hypercapnie avec une pression artérielle en gaz carbonique (PaCO2) à 50 mm Hg ; la recherche de BAAR dans les expectorations était négative. Un écouvillonnage nasopharyngé a été réalisé pour la recherche d’une infection à virus AH1N1. L’examen PCR H1N1 de l’écouvillonnage naso-pharyngé est revenu positif.Le traitement consistait en une oxygénothérapie par masque à haute concentration et à haut débit (10 litres/mn). Un traitement antiviral par oseltamivir (Tamiflu®) à la dose de un comprimé par jour a été débuté selon la recommandation du Ministère de la Santé Malgache. En outre nous avons ajouté une antibiothérapie par association d’Amoxicilline (4g/j) et de Metronidazole (1g/j). Une corticothérapie par Methylprednisolone (2mg/kg/j), un antipyrétique à base de Paracétamol (3g/j) et un diurétique de l’anse (40mg/j) ont été associé au Tamiflu®.L’évolution au 2ème jour d’hospitalisation est marquée par une défervescence thermique à 38°C, cependant persistait une polypnée avec sueur et cyanose des extrémités. La saturation périphérique était à 84% malgré l’oxygénation. Cette évolution a motivé d’une ventilation non invasive (VNI). Au 3ème jour d’hospitalisation ; on notait une amélioration de l’était ventilatoire marquée par une FR à 20 cycles/mn, une FC à 85 battements /mn, une SPO2 à 93% une apyrexie à 37° et une disparition de la cyanose des extrémités. Les gaz du sang était normaux (PaO2 à 95 mm Hg et PaCO2 à 38 mm Hg). L’examen PCR H1N1 a été positif. Nous avons arrêté progressivement la VNI et le patient a été mis en ventilation spontanée avec un débit d’oxygène à 3 litres par minute par sonde nasale. Après amélioration complète des paramètres pulmonaires, nous avons pu arrêter l’oxygénothérapie mais les autres traitements ont été poursuivis.Le malade était sorti de l’Hôpital le 07 décembre 2009 ; c’est à dire après 10 jours d’hospitalisation après constatation d’une guérison qui était confirmée par la radiographie pulmonaire (Figure 2). Il a pu reprendre ses activités quotidiennes en tant que médecin.

Par définition, notre patient a rempli les critères de SDRA selon le consensus américano-européen avec présence de détresse respiratoire aiguë, absence d’étiologie cardiaque à l’œdème pulmonaire, gaz de sang perturbé, infiltrat bilatéral à la radiographie du poumon.L’origine de ce SDRA est probablement virale. Ce diagnostic est établi par le tableau clinique présenté par le patient et les résultats biologiques et confirmé par la positivité du test grippal PCR-H1N1.Ce SDRA par pneumonie virale peut être lié à deux mécanismes : une agression virale directe et isolée ou une surinfection bactérienne secondaire précoce. Au cours des pneumonies associées à la grippe AH1N1 ; en particulier lorsque les lésions sont suffisamment diffuses pour entretenir un SDRA ; les données suggèrent que l’agression virale serait la plus fréquente (54 à 96% des cas) [4]. Les coinfections bactériennes et virales sont potentiellement liées à la baisse d’immunité classiquement décrite lors d’infections virales et qui semble retrouvée aussi pour le virus H1N1 [5].Au cours de l’infection virale AH1N1, les formes mortelles touchent essentiellement les sujets ayant des comorbidités mais il peut y avoir une forme grave chez quelqu’un qui est apparemment en bonne santé apparente [6]. A l’Ile de la Réunion, les formes les plus graves ont été observées chez des patients sans antécédents [7] ; dans notre cas, il s’agit d’un patient âgé de 45 ans qui n’ a aucune comorbidité. La cytotoxicité directe du variant H1N1/2009 contre les pneumocytes et l’absence d’immunité protectrice des sujets moins de 50 ans contre les différents sous-types H1N1 circulants chez l’homme [8][9] expliqueraient en partie ces cas de SDRA chez des patients jeunes. Comme les autres pays ; Madagascar était parmi les pays touchés par la pandémie grippale AH1N1 durant le mois de Novembre 2009 d’où le prélèvement nasopharyngé effectué pour recherche du virus devant un cas suspect. Cet examen était systématique devant tout syndrome fébrile accompagné ou non de détresse respiratoire selon la recommandation du Ministère de la Santé Malgache à l’époque.Concernant la prise en charge du patient ; la correction de l’hypoxémie est primordiale dans le SDRA (position demi assise, oxygénothérapie à l’aide d’une masque à haut débit) mais celle-ci s’était avérée inefficace dans le cas de notre patient d’où le recours à la ventilation non invasive (VNI). L’avantage de cette technique est d’éviter l’intubation trachéale et ses complications tout en permettant de réduire la durée du séjour en réanimation ainsi que la mortalité [10]. Les données de la littérature ont montré que le mode ventilatoire de première intention pour l’œdème aigu du poumon (OAP) est la ventilation spontanée avec une pression expiratoire positive (VS-PEP) ou la ventilation spontanée avec aide inspiratoire et pression expiratoire positive (VS-AI-PEP) [11]. Au début de la VNI, nous avons choisi le mode VS-PEP avec PEP à 5cmH2O et une amélioration des paramètres cliniques et paracliniques a été constatée. Ce mode de ventilation permet d’augmenter le volume pulmonaire télé expiratoire par un mécanisme de recrutement alvéolaire [12]. L’amélioration progressive de l’état du patient même en dehors des séances de VNI nous a amené à interrompre cette séquence de VNI et de la poursuivre par l’oxygénation à la lunette jusqu’à la ventilation spontanée à l’air ambiant. Concernant les traitements médicamenteux ; nous avons prescrit du corticoïde en constatant que le SDRA est caractérisé par une réaction inflammatoire majeure, responsable de l’œdème alvéolaire et des réactions systémiques [13]. Plusieurs études prospectives ont démontré que l’administration de corticoïdes à la phase aiguë du SDRA n’améliore pas le pronostic de leurs patients [14] alors que dans notre cas, une amélioration a été constatée.Concernant l’antibiothérapie au cours de la pneumonie virale ; les recommandations actuelles sont peu précises. Cette antibiothérapie doit être débutée immédiatement en cas de pneumopathie clinique ou de signes de gravité sur le plan respiratoire ou secondairement en cas de persistance ou de réapparition de la fièvre [15].Dans notre cas ; l’existence d’une pneumopathie infectieuse clinique, la suspicion d’une coinfection, la présence des signes de gravité sur le plan respiratoire, l’hyperthermie et le retard du résultat de l’écouvillonnage naso-pharyngé nous ont obligé à prescrire une antibiothérapie probabiliste dès l’admission du patient du fait d’une épidémie de grippe AH1N1 à Madagascar pendant cette période, le patient a reçu un traitement antiviral en plus de l’antibiothérapie selon la recommandation du Ministère de la Santé. Selon la littérature, l’attrait des cliniciens pour l’assistance respiratoire extracorporelle (ECMO) est redevenu très fort récemment, essentiellement du fait de progrès réalisés en biotechnologie et des résultats de l’étude CESAR [16]. Cette méthode a pour objectif d’épurer le gaz carbonique par méthode extracorporelle. Au demeurant, comme il a été rapporté durant l’épidémiologie de grippe AH1N1, il semble que cette ECMO puisse être utilisée de façon sécuritaire dans le SDRA sans les effets secondaires rapportés dans les années 80 [17]. L’équipe réunionnaise a noté son efficacité pour leur patient atteint du SDRA à H1N1 en 2009 [7]. Jusqu’à ce jour, il nous serait impossible de réaliser cette méthode malgré le fait du progrès réalisé en biotechnique et des
résultats de l’étude CESAR. Dans cette étude la prise en charge clinique du SDRA par la ventilation non invasive et l’installation précoce du traitement spécifique antiviral pendant la pandémie de grippe AH1N1 (sans attendre les résultats du RTPCR) nous ont permises d’éviter l’aggravation du SDRA vers le décès du patient et de guérir cette maladie.
Conclusion
La prise en charge du SDRA est souvent difficile. Cette forme de SDRA par pneumonie virale H1N1 a montré l’intérêt de réaliser systématiquement le prélèvement dès la suspicion du diagnostic chez un patient présentant une dyspnée fébrile surtout en période d’épidémie grippale.Cette étude illustre l’importance de réaliser la VNI pour traiter les formes sévères de SDRA à infection à virus AH1N1. Le traitement spécifique par l’antiviral (Oseltamivir) prend une place importante, l’indication de l’antibiothérapie est large dans la pneumonie virale mais la place de la corticothérapie au cours du SDRA reste encore discutable selon les auteurs.
Références
- The American-European Consensus Conference on ARDS. Definitions, mechanisms, relevant outcomes, and clinical trial coordination.Am J Respir Care Med 1994 ; 149 : 818-824.
- Lewandowski K , Metz J , Deutschmann C et al . Incidence, severity, and mortality of acute respiratory failure in Berlin, Germany.Am J Respir Crit Care Med 1995 ; 151 : 1121-1125.
- Hyers T M. Prediction of survival and mortality in patients with adult respiratory distress syndrome. New Horiz 1993 ; 1 : 466-470.
- Maward T , Hajjar L A , Callegari G D et al. Lung Pathology in Fatal Novel Human Influenza A (H1N1) Infection . Am J Respir Crit Care Med. 2009 Oct 29.
- Jamieson AM, Yu S, Annicelli CH, Medzhitov R. Influenza virus-induced glucocorticoids compromise innate host defense against a secondary bacterial infection. Cell Host Microbe 2009 ;18 (7) ; 103-114
- Webb S A, Pattile V , Seppelt I et al . Critical Care Service and 2009 H1N1 Influenza in Australia and New Zealand.N Engl J Med. 2009 ; 361 : 1925-34.
- Parcevaux M, Boisson V, Lemant J et al. Epidémie de grippe A(H1N1)2009 : description des cas et expérience de gestion de crise dans un service de réanimation réunionnais. Annales Française d’Anesthésie et de Réanimation 2010 ;29 : 902-908
- Garten RJ, Davis CT, Russell CA et al. Antigenic and genetic characteristics of swine-origin 2009 A(H1N1) influenza viruses circulating in humans. Science 2009 ; 325 (10) ; 197-201
- Xing Z, Cardona C. Preexisting immunity to pandemic (H1N1) 2009. Emerg infect Dis 2009 ; 15 : 1847-1849
- Evans J W , Albert R K , Angus D C et al. International Consensus Conferences in intensive care Medicine : non-invasive , positive pressure ventilation in acute respiratory failure , Reanimation 2001 ; 10 : 112-25.
- GRADE working group. Grading quality of evidence and strength of recommendations. BMJ 2004 ; 328 : 1490-8.
- Kollef M H, Schuster D. The acute respiratory distress syndrome. N Engl J Med 1995 ; 332 : 27-37.
- Annane D, Sebille V, Belissant E. Effet of lower doses of corticosteroids in septic shock patients with or without early acute respiratory distress syndrome. Crit Care Med. 2006 Jan ; 39(1) : 22-30.
- Bernard G R , Luce J M , Sprung C L et al. High dose corticosteroid in patients with the adult respiratory distress syndrome. N Engl J Med1987 ; 317 : 1565-70.
- Antibiotiques ISSN. Masson Paris.1999 ; 2001 (3) : 10-15.
- Peek G J , Mugford M , Tiruvoipeti R et al. Efficacy and economic assessment of conventional ventilatory support versus extracorporeal membrane oxygenation for severe adult respiratory failure (CESAR) : a multicentre randomised controlled trial. Lancet.2009 Oct 17 ; 374 : 1351-63.
- Davies A, Jones D, Bailey M et al. Extracorporeal Membrane Oxygenation for 2009 Influenza A (H1N1). Acute Respiratory Distress Syndrome.Jama. 2009 Nov 4 ; 302(17) : 1887-95.